‘Now I am getting my spleen removed.’ – A Patient Got Some Bad News After She Got A Full Body MRI Scan

TikTok/@sarblackburn
It’s better to be safe than sorry when it comes to preventive healthcare…even though it sometimes comes with scary results.
A woman named Sarah talked to TikTok viewers about what she found out after she had a full-body MRI scan.

TikTok/@sarblackburn
Sarah told viewers, “We scheduled to have them done in Dallas, which is about four hours away from us in Houston, and we were gonna make a trip out of it and we were so excited.
She said her and her husband ended up canceling the MRI scans, but she got one eight months later in Houston.
Sarah told viewers, “I was treating it like a spa day. I was so excited and like taking pictures in my little scrubs. Everything at Prenuvo was great. I got to watch Netflix, and the waiting room was nice and everything was super pretty and clean.”

TikTok/@sarblackburn
Four days later, Sarah got the bad news. She said, “I had nobody to call. I just went into a full-blown panic attack when I got my results and ended up in the emergency room because I needed a doctor to tell me what this meant.”
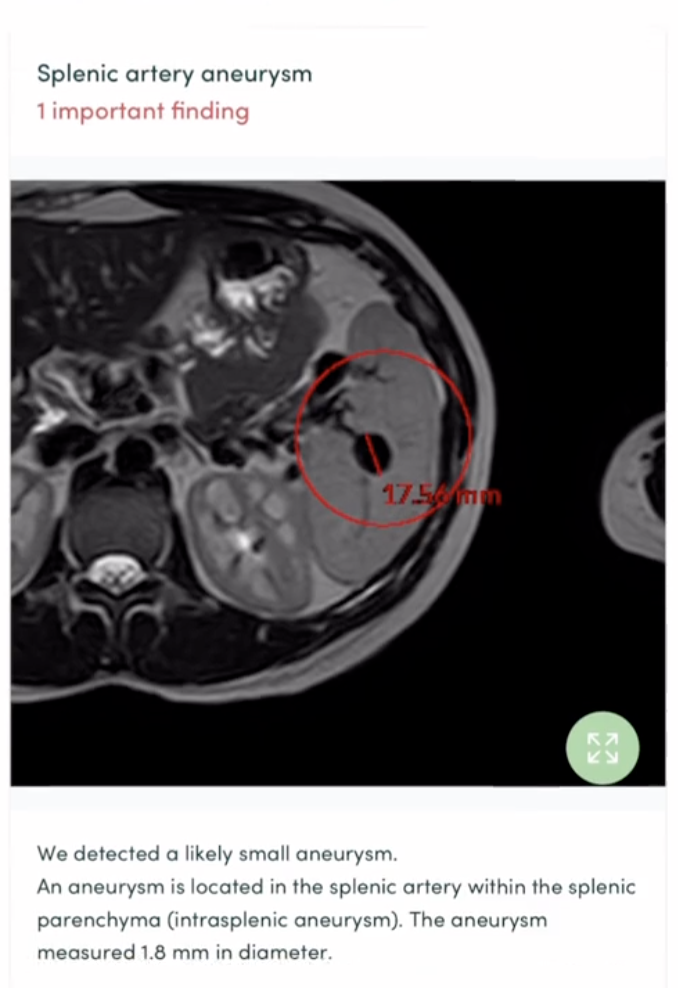
She continued, “I got a CT scan. There are actually two aneurysms inside of my splenic artery. Now I am getting my spleen removed.”

TikTok/@sarblackburn
Take a look at the video.
@sarblackburn Story time on my Prenuvo experience! #prenuvo #houstontx #houston #splenicarteryaneurysm #preventativehealth #prenuvoscan
This is what viewers had to say.
This TikTokker shared their thoughts.

Another individual spoke up.

And this viewer chimed in.

Wow, this is pretty scary.
If you liked that story, check out this one about a 72-year-old woman was told by her life insurance company that her policy was worthless because she’d paid for 40 years. 🙁
Author
Matthew Gilligan
Sign up to get our BEST stories of the week straight to your inbox.



